Co léčí jedlá soda? Skutečný účinek na zuby a bezpečné alternativy

Odhad rizika poškození zubní skloviny jedlou sodou

Tento nástroj vám pomůže odhadnout riziko poškození zubní skloviny, pokud používáte jedlou sodu pro bělení zubů. Připomínáme, že pravidelné používání jedlé sody může způsobit nevratné poškození zubní skloviny, která chrání zuby před citlivostí a karies.

Vyplňte níže uvedené údaje a zjistěte, zda byste měli změnit svou praxi.

Many people turn to baking soda for teeth whitening because it’s cheap, easy to find, and sounds natural. But does it actually work? And more importantly - is it safe? If you’ve ever mixed baking soda with water or toothpaste hoping to get brighter teeth, you’re not alone. But here’s the truth: while baking soda can remove surface stains, it can also damage your enamel if used the wrong way.

Co vlastně jedlá soda dělá na zubech?

Jedlá soda, neboli hydrogenuhličitan sodný, je mírně abrazivní látka. To znamená, že mechanicky odtírá povrchové skvrny z většiny zubů - od kávy, čaje, tabáku nebo červeného vína. Vypadá to jako skvělá věc, ale abrazivita je dvojhlavý meč. Zuby nejsou z oceli. Jejich vnější vrstva - enamel - je nejtvrdší tkání v lidském těle, ale je také křehká. Když ji pravidelně škrábate, začne se tenčit. A jakmile enamel zmizí, pod ním je dentin, který je žlutavý a už se nezabělí.

Nejde jen o barvu. Tenký enamel znamená zvýšenou citlivost na studené, horké nebo sladké. Někteří lidé si po několika týdnech používání jedlé sody začnou stěžovat na bolest při čištění zubů nebo při jídle ledového zmrzliny. To není náhoda - je to přímý důsledek poškození skloviny.

Proč lidé věří, že jedlá soda bělí zuby?

Je to jednoduché: výsledek je vidět hned. Když si na kartáček nasekáte trochu bílého prášku a začnete čistit, zuby se na chvíli zdají světlejší. Ale to není bělení. To je jen odstranění povrchového znečištění. Představte si, že byste na černé košili nasypali prášek na odstranění skvrn. Vypadala by čistěji? Ano. Ale barva látky se nezměnila. Stejně to funguje i s zuby.

Na internetu najdete desítky „domácích receptů“: jedlá soda + citron, jedlá soda + kokosový olej, jedlá soda + peroxid vodíku. Všechny se opírají o stejný mylný předpoklad: „přirozené = bezpečné“. To ale není pravda. Citronová kyselina je jedna z nejagresivnějších látek pro zubní skloviny. Kombinace kyseliny a abrazivní sody je jako pískový papír na skle - může to vypadat jako čištění, ale výsledek je poškození.

Co říkají zubní lékaři?

Podle České zubní společnosti a mezinárodních studií (např. Journal of the American Dental Association, 2024) je jedlá soda pro bělení zubů nevhodná jako pravidelná metoda. Její abrazivita (RDA hodnota kolem 250) je téměř pětkrát vyšší než u běžné zubní pasty (RDA 70-100). To znamená, že každé použití způsobuje mikropoškození, které se hromadí.

Zubní lékaři v Brně a po celé České republice vidí pacienty, kteří si po měsících používání jedlé sody přišli s:

  • zvýšenou citlivostí zubů
  • ztenčenou sklovinou na špičkách zubů
  • zvýšeným rizikem karies, protože poškozená sklovina lépe přijímá bakterie

Nejhorší je, že poškození skloviny je nevratné. Neexistuje žádná pasta, která by ji „opravila“. Můžete ji jen chránit.

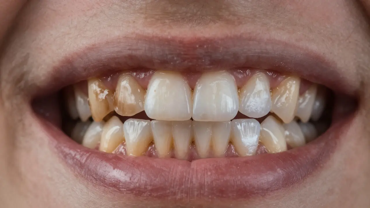
Zub pod útokem abrazivní sody a citronové kyseliny s poškozenou sklovinou.

Co je skutečně účinné a bezpečné pro bělení zubů?

Když chcete opravdu bělit zuby, potřebujete látku, která rozkládá pigmenty uvnitř skloviny - ne jen je odtírá. To dělají peroxidy: peroxid vodíku a peroxid karbamidu. Ty jsou v bělicích pastách a v profesionálních postupech u zubního lékaře.

Zde je srovnání:

Srovnání metod bělení zubů
Metoda Účinek Bezpečnost Trvání výsledku
Jedlá soda Odtírá povrchové skvrny Nízká - poškozuje enamel 1-2 týdny
Bělicí pasta s peroxidem Rozkládá pigmenty uvnitř skloviny Vysoká - pokud se používá podle návodu 3-6 měsíců
Profesionální bělení u lékaře Hluboké bělení, kontrola důsledků Nejvyšší - s ochranou dásní a kontrolou 1-3 roky

Profesionální bělení u zubního lékaře je nejúčinnější a nejbezpečnější možnost. Lékař nejprve zkontroluje stav vašich zubů, odstraní náplně nebo kameny, a pak použije koncentrovaný peroxid s ochranou dásní. Výsledek je vidět hned a trvá roky. A nezničí vaši skloviny.

Kdy je jedlá soda přípustná?

Nechtějte ji úplně vyhodit. Pokud ji používáte velmi vzácně - třeba jednou za měsíc - a jen jako doplněk k běžné zubní pastě, může pomoci s odstraněním odolných skvrn. Ale nikdy ji nepoužívejte samostatně. A nikdy ji nesmíte čistit více než 1-2 minuty. Použijte jen malou dávku, jako byste měli na kartáčku kousek špičky nože.

Ještě lepší je vyhledat zubní pastu, která obsahuje jedlu sodu jako jednu z mnoha složek - například od značek Colgate, Sensodyne nebo Oral-B. Tyto pasty jsou formulovány tak, aby abrazivita byla v bezpečném rozmezí a aby obsahovaly fluorid, který zubní sklovinu posiluje.

Co dělat, když už máte poškozenou sklovinu?

Pokud jste už začali cítit citlivost nebo vidíte, že zuby vypadají „matně“ nebo mají tmavé špičky, je čas jít k zubnímu lékaři. Nečekat. Sklovina se nezotaví sama.

Lékař může:

  • zkontrolovat stupeň poškození pomocí digitálního snímku
  • navrhnout fluoridovou terapii, která pomůže zpevnit zbývající enamel
  • zamítnout bělicí procedury, dokud není sklovina stabilní
  • navrhnout kompozitní výplň nebo vložku na špičky zubů, pokud je poškození viditelné

Nejhorší, co můžete udělat, je pokračovat v používání jedlé sody. Každé další použití zhorší situaci.

Zubní lékař prohlíží poškozenou sklovinu pomocí digitálního skeneru v klinice.

Bezpečné alternativy k jedlé sodě

Nemusíte se vzdát bělení. Jen musíte zvolit správnou cestu:

  • Bělicí pasty s peroxidem - vyhledejte ty, které mají označení „ADA Accepted“ nebo „zubní lékařem doporučeno“
  • Profesionální bělení - stojí přibližně 2500-4000 Kč, ale výsledek trvá roky a je bezpečný
  • Hydroxylapatitové pasty - nová generace, která opravuje mikrotrhliny v enamelu a zároveň bělí
  • Pravidelné čištění u zubního hygienika - odstraní skvrny, kameny a zabraňuje jejich opakování

Pamatujte: nejlepší „bělení“ je prevence. Čistěte zuby dvakrát denně, používejte nit, vyhýbejte se sladkým nápojům a nezneužívejte „domácích triků“.

Co se stane, když budete pokračovat?

Pokud budete dál používat jedlu sodu jako hlavní metodu bělení, za 6-12 měsíců se vám zuby nejen ztmaví - budou citlivé, křehké a zranitelné. A pak budete potřebovat nejen bělení, ale výplně, korunky nebo dokonce zubní implantace. To všechno stojí desetitisíce korun. A nevrátí vám původní skloviny.

Největší chyba? Věřit, že něco, co je levné a přirozené, musí být lepší. Někdy je přesně naopak.

Může jedlá soda odstranit zubní kámen?

Ne. Zubní kámen je tvrdý vápenitý nános, který se tvoří podél dásní. Jedlá soda ho nemůže roztavit ani odstranit. Pouze zubní hygienik s ultrazvukovým zařízením může kámen bezpečně odstranit. Pokusy o jeho odstranění doma mohou poškodit dásně a zuby.

Je bezpečné používat jedlu sodu s peroxidem vodíku?

Ne. Směs jedlé sody a peroxidu vodíku je extrémně agresivní. Jedlá soda mechanicky škrábe sklovinu, peroxid ji chemicky oslabuje. Společně způsobují rychlé a nevratné poškození. I když to vypadá jako „silný bělící efekt“, je to vlastně zánik vašich zubů.

Jak často je bezpečné používat jedlu sodu na zuby?

Nikdy ne jako pravidelnou metodu. Pokud ji chcete použít jako doplněk, max. jednou za měsíc a jen na krátkou dobu (1-2 minuty). Vždy ji doplňte běžnou zubní pastou s fluoridem. Pokud máte citlivé zuby nebo dásně, nepoužívejte ji vůbec.

Proč některé zubní pasty obsahují jedlu sodu, když je nebezpečná?

Protože jsou formulovány tak, aby její abrazivita byla v bezpečném rozmezí. Značky jako Colgate Total nebo Sensodyne přidávají jedlu sodu v malém množství, spolu s fluoridem, hydroxylapatitem a jinými látkami, které chrání skloviny. Samotná jedlá soda je nebezpečná - ale ve správné směsi je bezpečná a užitečná.

Je lepší bělit zuby doma nebo u lékaře?

U lékaře je vždy bezpečnější. Domácí bělení může fungovat, ale jen pokud používáte kvalitní produkty podle návodu. Lékař však nejprve zkontroluje, zda nemáte karies, zánět dásní nebo poškozenou sklovinu - a to je klíčové. Pokud máte nějaký problém, bělení může zhoršit stav. Lékař vám to řekne dřív, než začnete.

Co dělat dnes?

Zastavte používání jedlé sody jako bělícího prostředku. Vezměte si bělicí pastu s peroxidem a začněte ji používat podle návodu. Udělejte si návštěvu u zubního hygienika - odstraní kameny, které domácí metody nezvládají, a poradí vám, jak zůstat s bílými zuby bez poškozování.

Zuby nejsou věc, kterou lze „vyčistit“ náhodným prostředkem. Jsou to životně důležité orgány. Ochranná vrstva, kterou máte, se nevrátí. Až to pochopíte, začnete o nich pečovat správně - a nejen proto, aby vypadaly lépe. Ale proto, aby vám sloužily celý život.

Populární tag : jedlá soda bělení zubů domácí bělení zubní enamel zubní pasta


Napsat komentář