Jak vzniká zubní plak a proč je důležité ho odstranit

Kalkulačka rizika tvorby zubního plaku

Zadejte své zvyky čištění zubů a jídelníček, abyste zjistili, jak rychle se na vašich zubech může tvořit plak. Tato kalkulačka vám ukáže vaše riziko a doporučí, co byste měli zlepšit.

Váš výsledek

Vaše riziko tvorby zubního plaku:

Doporučení pro vás

Zubní plak není jen špína, kterou si můžete snadno očistit. Je to aktivní, živá biofilmová vrstva, která se na vašich zubech tvoří každý den - a pokud ji neodstraníte, začne ničit vaše zuby a dásně. Víte, jak se vlastně tento plak vůbec vytváří? Není to náhoda, ani výsledek špatné hygieny jen někdy. Je to přesně vypočítaný biologický proces, který probíhá i u těch, kteří si pravidelně čistí zuby - jenže ne dostatečně dobře.

Co je zubní plak skutečně?

Zubní plak je tenká, neviditelná vrstva bakterií, které se přichytávají na povrchu zubů. Nejde o prach nebo zbytky jídla - to je jen příležitost. Samotný plak je složen z tisíců bakterií, které se spojují do komunit, vytvářejí lepkavou hmotu a v ní se množí. Každý zub má na svém povrchu mikroskopické nerovnosti, kde se tyto bakterie snadno usazují. A když se tam usadí, začínají pracovat.

Bakterie v plaku jsou hlavně Streptococcus mutans a Lactobacillus. Tyto druhy mají jednu vlastnost, která je pro vaše zuby nebezpečná: dokáží přeměňovat cukry na kyseliny. A právě tyto kyseliny jsou to, co ničí sklovinu zubu - první fázi zubního kazu.

Kde a kdy se plak tvoří?

Plak se nevyskytuje jen na viditelných částech zubů. Nejvíce se tvoří v místech, která si těžko čistíte: mezi zuby, u dásní, v hlubokých drážkách na žvýkacích plochách. Pokud jste jedli sladké jídlo nebo nápoj - třeba čaj s cukrem, limonádu nebo čokoládu - začne proces hned. Bakterie začnou přeměňovat cukry do kyseliny během několika minut. A když si nečistíte zuby, kyselina zůstává na povrchu zubu a začíná rozkládat minerály.

Plak se tvoří i během noci. Když spíte, sliny produkujete méně. Sliny jsou vaše přirozené čistící prostředky - obsahují minerály, které pomáhají zubům se obnovovat, a zároveň myjí zuby. Když je jejich produkce nižší, plak roste rychleji. Proto je tak důležité čistit zuby před spaním. Pokud si je nečistíte večer, plak má celou noc na to, aby způsobil poškození.

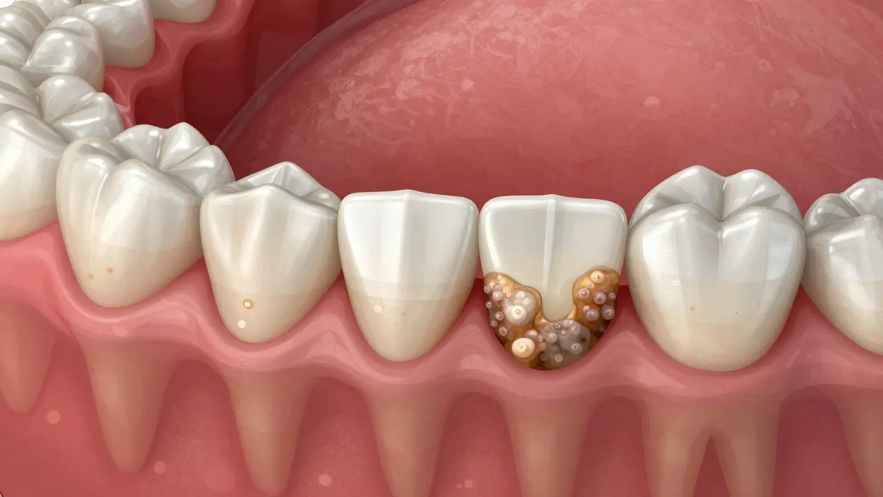
Jak se plak mění v zubní kámen?

Plak je měkký. Pokud ho neodstraníte během 2-3 dnů, začne se mineralizovat. Sliny obsahují vápník a fosfáty - ty se postupně usazují v plaku a z něj dělají tvrdou, neodstranitelnou vrstvu: zubní kámen. To už není jen špína. Je to jako kámen na zubech, který si nemůžete odstranit kartáčkem. Zubní kámen je hnízdem pro další bakterie a způsobuje záněty dásní, krvácení, zápach z úst a v nejhorším případě ztrátu zubů.

Na zubním kameni se může usazovat i barvivá látka z kávy, čaje nebo tabáku. To je ten hnědý nebo žlutý povlak, který lidé často považují za „špínu“. Ale to není špína - je to zubní kámen s nánosy. A ten může odstranit jen zubař s profesionálními nástroji.

Přechod měkkého zubního plaku na tvrdý zubní kámen u dásní.

Co ovlivňuje rychlost tvorby plaku?

Není všichni stejně zranitelní. Někdo si čistí zuby dvakrát denně a má čisté zuby. Někdo to dělá stejně, ale plak se mu tvoří rychle. Proč? Záleží na několika věcech:

  • Dietu - Časté jídlo s cukrem nebo sacharidy (třeba chléb, sušenky, ovoce) zvyšuje rychlost tvorby plaku. I zdravé potraviny, jako je ovoce, obsahují přirozený cukr, který bakterie využívají.
  • Produkci slin - Lidé s suchými ústy (například kvůli lékům nebo dýchání ústy) mají větší riziko. Sliny chrání zuby, protože je čistí a neutralizují kyseliny.
  • Polohu zubů - Zuby, které jsou špatně zarovnané, mají více koutků, kde se plak snadno ukládá.
  • Genetiku - Někteří lidé mají přirozeně více bakterií, které vytvářejí plak. To neznamená, že nemůžete zabránit kazu - jen že potřebujete být ještě opatrnější.

Jak plak odstranit?

Nejúčinnější způsob, jak zastavit plak, je pravidelné a správné čištění. Nejde jen o to, čistit zuby - jde o to, jak to děláte.

  1. Čistěte zuby dvakrát denně - ráno a před spaním. Nejméně dvě minuty. Nepoužívejte jen rychlé pohyby. Zaměřte se na každý zub zvlášť.
  2. Používejte zubní kartáček s měkkými štětinami - Tvrdé štětiny poškozují dásně a neodstraňují plak lépe.
  3. Čistěte mezery zubů - Nitě nebo mezizubní kartáčky odstraňují plak tam, kde kartáček nedosáhne. To je klíčové pro prevenci kazu mezi zuby.
  4. Používejte zubní pasta s fluoridem - Fluorid pomáhá zubní sklovině se obnovovat a zabraňuje kyselinám ji ničit.
  5. Nečekejte na zápach z úst - Pokud máte zápach, plak už je tam dlouho. Nečekáte na signál - čistěte pravidelně, i když se všechno zdá v pořádku.

Profesionální čištění u zubaře je potřeba dvakrát ročně. I když si doma čistíte zuby dokonale, zubní kámen se vám vždycky někde vytvoří. Zubař ho odstraní bez poškození zubů a dásní.

Hodiny na zubě symbolizující čas a důležitost pravidelné hygieny.

Co se stane, když plak ignorujete?

Ignorování plaku není jen o zápachu z úst nebo o estetice. Je to o vašem zdraví.

Nejprve se objeví zánět dásní - dásně červenají, krvácí při čištění. To se jmenuje gingivitida. Je to zpětně otočitelné. Pokud ale nezahájíte léčbu, plak a kámen postupně pronikají pod dásně. Tam způsobují paradentózu - zánět, který ničí kost kolem zubů. Zuby se začnou hýbat, vypadají, a jednou se vám ztratí.

Studie z Journal of Clinical Periodontology ukazují, že lidé s nelečenou paradentózou mají vyšší riziko srdečních onemocnění, cukrovky a dokonce i předčasného porodu. Bakterie z úst se dostávají do krevního oběhu a mohou ovlivňovat celé tělo. Plak není jen problém zubů - je to celotělový problém.

Co můžete udělat dnes?

Nemusíte se měnit kompletně. Stačí začít s malými kroky:

  • Do večerního čištění přidejte nitě - jen pět minut.
  • Přemýšlejte o tom, kolik sladkého jíte denně. Nejen čokoláda - i „zdravé“ sladké jogurty nebo ovoce mohou být problém, pokud je jíte často.
  • Kupujte si zubní pastu s fluoridem - ne s vůní a barvou. Základní pasta je nejlepší.
  • Pojďte na kontrolu u zubaře, i když nic nebolí. Profesionální čištění je levnější než oprava kazu.

Zubní plak není vaše vina. Je to přirozený biologický proces. Ale vaše reakce na něj - to už je vaše volba. Každý den, kdy si čistíte zuby správně, zabraňujete poškození, které by jinak trvalo desítky let. A každý den, kdy to neuděláte, dáváte bakteriím více času na práci. Vy si to vybíráte - každý den znovu.

Je zubní plak stejný jako zubní kámen?

Ne. Zubní plak je měkká, lepkavá vrstva bakterií, kterou lze odstranit kartáčkem a nitěmi. Zubní kámen je tvrdá, mineralizovaná forma plaku, která se vytváří, pokud plak neodstraníte během několika dní. Kámen si už neodstraníte doma - potřebujete profesionální čištění u zubaře.

Proč se plak tvoří i když si čistím zuby?

Bakterie v ústech se vždycky vrací. I když si zuby čistíte, začnou se opět usazovat během několika hodin. To neznamená, že čištění je zbytečné - naopak. Pravidelné čištění brání plaku, aby se přeměnil v kámen nebo způsobil kazu. Klíč je v pravidelnosti, ne v dokonalosti.

Může zubní plak způsobit zápach z úst?

Ano. Bakterie v plaku rozkládají zbytky jídla a produkují pachové látky, jako je sírovodík. To je hlavní příčina zápachu z úst. Pokud máte stálý zápach, je to často signál, že plak není dostatečně odstraňován - zejména mezi zuby nebo pod dásněmi.

Je lepší používat zubní kartáček s elektrickým pohonem?

Elektrický kartáček může být účinnější, protože většina lidí nečistí zuby dostatečně dlouho nebo správným způsobem. Elektrické kartáčky mají často integrovaný časovač a automatické pohyby, které lépe odstraňují plak. Ale i ruční kartáček funguje, pokud ho používáte správně - dvě minuty, všechny plochy, měkké štětiny.

Můžu odstranit zubní plak jen poloskem nebo ústní vodou?

Ne. Polosky a ústní vody mohou pomoci zmírnit bakterie nebo zlepšit pach, ale neodstraňují fyzicky plak. Pouze mechanické čištění - kartáčkem a nitěmi - může plak odstranit. Ústní voda je doplněk, ne náhrada.

Populární tag : zubní plak vznik zubního plaku zubní kámen bakterie v ústech hygiena zubů


Napsat komentář