Bolest předních zubů: Jaké jsou nejčastější příčiny a co s tím dělat?

Kontrola příčin bolesti předních zubů

Vyberte vaše symptomy

Vyberte všechny symptomy, které zaznamenáváte. Nástroj vám ukáže možné příčiny a doporučené kroky.

Bolest předních zubů není jen nepříjemná - může být i varováním, že něco není v pořádku. Mnoho lidí si myslí, že bolest zubů se týká jen zadních zubů, kde se často vyskytuje kaz. Ale přední zuby - ty, které vidíte, když se usmějete - mohou bolet stejně silně, a často z důvodů, které nikdo nečeká.

Proč přední zuby bolí, když jsou tak malé a zdánlivě jednoduché?

Přední zuby jsou menší než moláry, ale mají stejně složitou strukturu. Každý z nich má kmen, dásně, zubní nerv a sklovinku. Když něco z toho poškodíte, bolest se projeví hned. A nejčastější příčiny? Nejsou vždy ty, které si lidé myslí.

Někteří si myslí, že bolest předních zubů znamená, že mají kaz. To je pravda - ale ne vždy. Kaz na předních zubech se často objevuje u dětí nebo u lidí, kteří píjí hodně sladkých nápojů. Ale i zdraví dospělí s dobrým ústním hygienou mohou mít bolest - a to bez jediného kazového dírky.

1. Citlivost zubů - když vám bolí i studený vzduch

Nejčastější příčina bolesti předních zubů je citlivost zubů. Když se vám dásně odsunou, odhalí se kořen zubu. Ten nemá sklovinu, jen cement. A když na něj přijde studený vzduch, teplá polévka nebo sladký nápoj, nerv v zubu to cítí - a posílá signál bolesti.

Co to způsobuje? Časté čištění zubů silnou kartáčkem, štětci s tvrdými vlákny, nebo škrábání zuby na zubní pastě s agresivními čisticími látkami. Někdy to přijde i po ortodontickém léčení - když se zuby přesunuly, dásně se mohou trochu vrátit zpět.

Nejlepší řešení? Změňte kartáček na měkký, používejte pastu s fluoridem a hydroxyapatitem. A nečešte si zuby hned po jídle, když je kyselina ještě na zubech - počkejte 30 minut.

2. Mikrotrhliny a zlomeniny - když nic nevidíte, ale bolí to

Největší překvapení pro mnoho lidí: přední zuby se mohou zlomit - a vy to ani nevíte. Nejde o velkou štěrbinu. Stačí jen tenká trhlina, kterou vidí jen zubní lékař pod mikroskopem. Taková trhlina se projevuje bolestí při žvýkání, když se zub oheňne, nebo když pije teplý čaj.

Také to může být důsledek zuby štěkání nebo stisku čelistí během spánku. Mnoho lidí to neví - a pak se diví, proč jim bolí zuby, když nemají kaz.

Nejlepší způsob, jak to zjistit? Když bolest přijde jen při určitých činnostech - žvýkání, pít teplé, nebo když se nadechnete studeným vzduchem - je to často znamení mikrotrhliny. Lékař to potvrdí pomocí zrcadla a světla, nebo i rentgenem.

3. Zánět dásní - když se bolest šíří z dásní

Bolest předních zubů může také pocházet z dásní. Když máte zánět dásní (paradentózu), může se zánět přenášet na kořen zubu. To se stává častěji, než si lidé myslí. Někdy to vypadá, že bolí zub - ale ve skutečnosti je to dásen, které je zčervenalé, krvácí a zvětšené.

Nejčastější příčina? Nedostatečná hygiena. Nebo příliš časté čištění, které dásně poškodí. Někdy to přijde i po změně zubní pasty - některé obsahují agresivní látky, které způsobí podráždění.

Co dělat? Přestěte si zuby dvakrát denně, používejte zubní nit a nezapomeňte na čištění mezi zuby. Když dásně krvácí, není to normální - to je signál, že potřebujete odbornou péči.

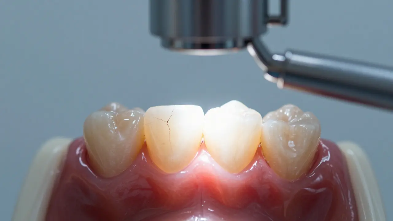
Zvětšený pohled na přední zub s tenkou trhlinou v sklovince pod dentálním světlem.

4. Zubní náležitosti - když jste si přišli s něčím zpět

Nezapomeňte na výsledky zubních zákroků. Když jste měli zubní výplň, korunku nebo implantát na předním zubu, může se stát, že se pod ní vytvoří mezera. Tam se usazuje plak, bakterie, a pak způsobí infekci.

Nebo - a to je časté - se může stát, že výplň příliš vystupuje. Když se při žvýkání dotýká opačného zubu, může to způsobit bolest. Někdy to přijde i po vybělení zubů. Když se zubní sklovinu příliš otevře, může být citlivá na teplotu.

Proč to někdy přijde až po týdnu? Protože tělo potřebuje čas, aby reagovalo na změnu. Když se vám zub po výplni začne bolet, nečekejte - jděte k lékaři. To není normální.

5. Nervová bolest - když zub není vinný

Nejzajímavější příčina: bolest, která pochází z jiného místa. Někdy to není zub - ale trigeminální nerv. Ten se táhne od oka po bradu a může vysílat bolest jako z předního zubu, i když je zub zdravý.

Trigeminální neuralgie se projevuje ostrou, prudkou bolestí, která přijde a zmizí za pár sekund. Někdy se to stane při mluvení, čištění zubů nebo když se jíte. To není kaz. To je nerv.

Nejčastější příčina? Stres, úraz, nebo zánět. Pokud vám lékař řekne, že zub je v pořádku, ale bolest přetrvává, měli byste se obrátit na neurologa. To není běžné, ale děje se - a je důležité to rozpoznat.

Co dělat, když vám bolí přední zuby?

  • Nepoužívejte silné zubní pasty s agresivními čisticími látkami - vybírejte ty s fluoridem a hydroxyapatitem.
  • Čistěte zuby měkkým kartáčkem - nejtěžší škrábání neznamená nejčistší zuby.
  • Po jídle počkejte 30 minut, než si zuby čistíte - kyselina potřebuje čas, aby se zastavila.
  • Používejte zubní nit každý den - to je klíč k prevenci zánětu dásní.
  • Když bolest trvá déle než 3 dny, nečekejte - jděte k zubnímu lékaři. Nejde o to, jestli je to kaz - jde o to, co se děje uvnitř.
Koncepční znázornění trigeminálního nervu, který přenáší bolest do předních zubů.

Co neudělejte

  • Nepoužívejte domácí prostředky jako česnek, alkohol nebo kyselina citronová - můžou poškodit sklovinu.
  • Nepřestávejte čistit zuby jen proto, že bolí - to zhorší situaci.
  • Nepřijímejte léky proti bolesti jako řešení - to maskuje příčinu, neboši ji.

Když to necháte, co se může stát?

Bolest předních zubů není jen nepříjemná - může vést k větším problémům. Když ignorujete citlivost, může se dásně stáhnout ještě víc - a zub se může začít hýbat. Když necháte mikrotrhlinu, může se rozšířit - a zub může zcela prasknout. Když nelečíte zánět dásní, může se přenést na kost - a zub se může ztratit.

Nejhorší je, že přední zuby jsou vidět. Když se ztratí, nejenže to bolí - ale i vypadá to špatně. A to může ovlivnit vaši sebevědomí, vztahy, dokonce i práci.

Proč mi bolí přední zuby, když nemám kaz?

Bolest předních zubů nemusí být způsobena kazem. Nejčastější příčiny jsou citlivost zubů kvůli odsunutí dásní, mikrotrhliny ve sklovině, zánět dásní, problémy po výplni nebo dokonce bolest z trigeminálního nervu. I zdravé zuby mohou bolet, když je něco jiného špatně.

Může bolest předních zubů být způsobena stresem?

Ano. Stres může způsobit stisk čelistí nebo štěkání během spánku, což vede k mikrotrhlinám ve sklovině. Může také zhoršit zánět dásní. A někdy může způsobit trigeminální neuralgii - bolest, která se projevuje jako zubní, ale pochází z nervu. Pokud máte stres a bolest zubů, zvažte, jestli nejste naštěkáváni.

Je normální, že mi po vybělení zubů bolí přední zuby?

Ano, to je časté. Vybělení otevírá mikropóry ve sklovině a dočasně zvyšuje citlivost. Bolest by měla zmizet do 48 hodin. Pokud trvá déle, nebo je příliš silná, je to signál, že jste překročili hranici - nebo že máte nějakou skrytou vadu, jako je trhlina nebo špatná výplň.

Jaký kartáček je nejlepší pro citlivé přední zuby?

Měkký kartáček s ultraměkkými vlákny. Vyhýbejte se kartáčkům s tvrdými nebo polotvrdými vlákny - i když vypadají „čistější“, poškozují dásně. Doporučuji elektrické kartáčky s tlačítkem pro citlivé zuby - ty automaticky omezují tlak.

Když mi bolí jen jeden přední zub, je to vážnější?

Neznamená to, že je to vážnější - ale znamená to, že je to konkrétní problém. Když bolí jen jeden zub, často je příčina lokální: trhlina, špatná výplň, nebo infekce u kořene. To je důvod, proč je důležité jít k lékaři - nečekat, až se to rozšíří na další zuby.

Chtěli byste, aby vám přední zuby přestaly bolet?

Nejlepší způsob, jak to dosáhnout, není lék. Je to pravidelná péče. Každý den - měkký kartáček, zubní nit, pastu s fluoridem. A každých šest měsíců - kontrola u zubního lékaře. Nečekat, až to začne bolet. Protože když to začne bolet, už je pozdě.

Populární tag : bolest předních zubů bolest zubů zubní bolest citlivé zuby zubní kaz


Napsat komentář