Zubní kazy: Co způsobuje díru v zubu a jak ji zastavit?

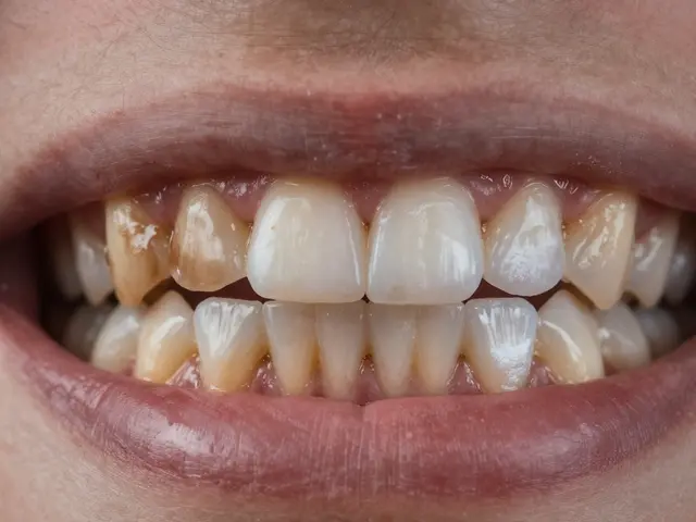
Nikdo nechce slyšet slovo „zubní kaz“ při návštěvě zubaře. Jak vlastně kaz vzniká a proč si ho všimnete až ve chvíli, kdy začne bolet? Škodlivé bakterie v ústech rozkládají cukry z jídla a pití, čímž vznikají kyseliny. Ty pomalu naleptávají sklovinu, až nakonec vznikne drobná díra – zubní kaz. Nezachytíte-li ho včas, můžete skončit s bolestí, zánětem nebo dokonce ztrátou zubu.

Možná si říkáte, že čistíte zuby důkladně, tak kde je problém? Často nám unikají místa, kam se kartáček úplně nedostane. Zbytky jídla mezi zuby nebo na zadních stoličkách jsou pro bakterie ráj. Je proto fajn používat mezizubní kartáčky nebo dentální nit. I jedno nevyčištěné místo může být začátkem potíží.

Máte pocit, že zubní kaz poznáte hned? Omyl. Často se objeví nejdřív jako bílá skvrna, která nebolí. Bolest přijde ve chvíli, kdy kaz pronikne hlouběji do zubu. Proto dávají smysl pravidelné kontroly u zubaře – včas odhalený kaz znamená méně vrtání, menší výlohy a žádnou zbytečnou bolest.

Dětské zuby, ale i ty dospělé, jsou ohrožené hlavně sladkými limonádami, džusy a častým mlsáním. Pokaždé, když si dopřejete něco sladkého, dostávají bakterie energii ke svému ničení. Zkuste si slazení odpustit, nebo jíst sladké spíše jako dezert po hlavním jídle, ne na svačinu.

Zubní kaz vzniká rychleji u lidí se slabší sklovinou. Pokud vám často vznikají kazy, zamyslete se nad použitím pasty s fluoridem. Fluorid pomáhá posílit sklovinu a dělá zuby odolnější. Zároveň dává smysl, nečistit zuby hned po kyselém jídle nebo pití – sklovina je po kyselinách měkká a kartáčkem ji snadno poškodíte. Stačí chvilku počkat nebo ústa vypláchnout vodou.

Pokud už vás trápí díra v zubu nebo bolest, nesnažte se to přechodit. Starý trik s hřebíčkovým olejem vám sice na chvíli pomůže, ale příčina zůstane. Čím dřív navštívíte zubaře, tím menší zásah do zubu bude potřeba. Moderní ošetření kazů je dnes rychlé a často i bezbolestné díky kvalitní anestezii a šetrným metodám.

Jestli chcete žít bez kazů i vy, nezanedbávejte prevenci. Základ je základní hygiena, správná technika čištění, minimálně 2x denně čištění zubů, používání mezizubních pomůcek a pravidelné kontroly. Investujte čas radši do prevence než do vrtání u zubaře. Zubní kaz je častý, ale pokud víte jak na něj, dá se mu ve většině případů předejít.

Účinný boj proti zubnímu kazu s Opalescence bělicím systémem

Účinný boj proti zubnímu kazu s Opalescence bělicím systémem

Tento článek se zaměřuje na to, jak opalescence bělení nejen zlepšuje estetiku vašeho úsměvu, ale také přispívá k prevenci zubního kazu. Bělení zubů je často vnímáno jen jako kosmetický zákrok, ale Opalescence nabízí více než jen bělejší zuby. S pokročilými složkami, které bojují proti bakteriím způsobujícím kazy, tento systém bělení poskytuje komplexní péči o ústní zdraví.

Číst více