Zubní kámen pod dásní: jak ho odstranit a předcházet jeho vzniku

Vyhodnoťte svůj rizikový faktor zubního kamene pod dásní

Zubní kámen pod dásní je neviditelný a může způsobit vážné problémy, které se často objevují až příliš pozdě. Tento nástroj vám pomůže zjistit, jaké jsou Vaše rizikové faktory a co byste měli udělat, abyste je minimalizovali.

Zubní kámen pod dásní je jedna z nejčastějších příčin zánětů dásní, krvácení, zápachu z úst a dokonce ztráty zubů. Mnoho lidí si myslí, že když si čistí zuby a používají náplavu, tak jsou v bezpečí. Ale když se kámen tvoří přesně pod dásní - tam, kde štěteček nedosáhne - problém může běžet bez příznaků, dokud už není pozdě. A to je ten nejhorší moment.

Co je to zubní kámen pod dásní?

Zubní kámen je zatvrdlý nános bakterií, potu a minerálů z slin. Vzniká z zubního plaku, který se na zubech tvoří každý den. Když ho neodstraníte čištěním, začne tvrdnout během 7-14 dní. Ale když se ten plak dostane pod dásní, tvoří se takzvaný subgingivální kámen. Ten je mnohem nebezpečnější než kámen na viditelné části zubů.

Pod dásní se kámen přilepuje k kořenům zubů a vytváří ideální prostředí pro škodlivé bakterie. Ty pak způsobují paradontitidu - zánět dásní a kosti, která drží zuby na místě. Když se kost začne rozpadat, zuby se začnou hýbat, a pak už jen čekáte na ztrátu.

Proč je to tak špatné, když to nevidíte?

Největší problém s kamenem pod dásní je, že ho nevidíte a nečujete. Nebojíte se ho, protože nebojíte to, co nevíte. Ale zatímco na povrchu zubu se kámen může projevit jen jako hnědá skvrna, pod dásní začíná rozkládat kost. A to je nespasitelné.

Na začátku můžete mít jen mírné krvácení při čištění, nebo zápach z úst, který si vysvětlíte špatnou stravou. Ale po několika měsících se to mění. Dásně se začnou stahovat, zuby se prodlužují, vznikají mezery, kde se zase hromadí pot a jídlo. A potom nastane bod, kdy už není možné zpět.

Kdo má největší riziko?

Není to jen o tom, jak často si čistíte zuby. Některé faktory zvyšují riziko výrazně:

  • Diabetici - mají horší imunitu a pomalejší hojení dásní
  • Kouřiči - nikotin zabraňuje krvácení, takže zánět nevidíte, ale dásně se ničí
  • Osoby s genetickou náchylností - někdo má přirozeně slabší dásně
  • Uživatelé protizápalových léků - například léky na krevní tlak nebo epilepsii mohou způsobit zvětšení dásní
  • Osoby s nízkou produkci slin - sucho v ústech zvyšuje riziko plaku

Ve městech jako Pilsen, kde je vysoký podíl kouřičů a lidí s cukrovkou, je problém ještě častější. Mnoho pacientů přichází k zubnímu lékaři až tehdy, když mají ztrátu jednoho nebo více zubů - a pak se diví, proč to přišlo.

Co můžete dělat doma?

Domácí péče je důležitá, ale nevyřeší kámen pod dásní. Můžete ale zpomalit jeho vznik:

  1. Čistěte zuby dvakrát denně - nejen před spaním, ale i ráno. Používejte zubní kartáček s měkkými štětinami.
  2. Používejte mezizubní kartáčky nebo nite - to je klíč. Plak se tvoří mezi zuby a pod dásní, a štěteček to nedosáhne.
  3. Volte náplavu s chlorhexidinem - ale jen na krátkou dobu. Dlouhodobě může způsobit zabarvení zubů.
  4. Pijte dostatek vody - sliny jsou vaše přírodní obrana. Pokud máte suché ústa, zvyšujete riziko.
  5. Ukončete kouření - to je nejúčinnější krok, který můžete udělat pro dásně.

Nezapomeňte: žádná náplava, žádný zubní prášek, žádný čistící systém nemůže odstranit kámen pod dásní. To může udělat jen zubní lékař.

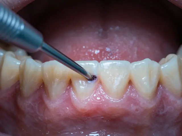
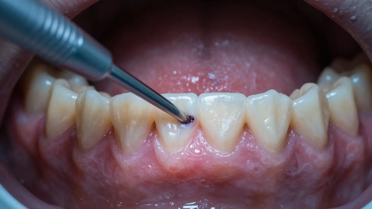
Zubní lékař provádí profesionální čištění pomocí ultrazvukového nástroje.

Když už to máte - co dělat?

Nejlepší zpráva: zubní kámen pod dásní se dá odstranit. Ale jen pokud to udělá odborník.

Profesionální čištění se jmenuje skalování a korekce kořenů. To není jen „čištění zubů“. Je to hluboké očištění pod dásní, které se dělá pomocí ultrazvukového nástroje a jemných ručních nástrojů. Lékař vás místně znehybní, pak pečlivě odstraní kámen z povrchu kořenů a vyhladí povrch, aby se plak nemohl opět přilepit.

Toto čištění není příjemné, ale není to ani bolestivé. Mnoho lidí si to představuje jako něco, co se dělá na zubním křesle s hřebíky - ale dnes to vypadá spíš jako jemné čištění s ultrazvukem. Většina pacientů to popíše jako „příjemné třepání“.

Po čištění vám lékař doporučí pravidelné kontroly každých 3-6 měsíců. Pro lidi s vysokým rizikem je to nezbytné. Nečekáte, až se kámen znovu objeví - zabraňujete mu.

Co se stane, když to ignorujete?

Když kámen pod dásní necháte být, může dojít k:

  • Ztrátě kosti kolem zubů - to se nevrátí
  • Ztrátě zubů - i když zub není zničený, může z něj vykroutit dásně
  • Přechodem na parodontitidu - zánět se šíří do celého těla a zvyšuje riziko srdečních onemocnění
  • Stálým zápachem z úst - který nezmizí ani náplavou
  • Snížením kvality života - nemůžete jíst, co chcete, hovoříte s obavou, a často se cítíte nejistě

Studie z roku 2024 z Univerzity v Hradci Králové ukázaly, že lidé s nelečenou paradontitidou mají 48% vyšší riziko infarktu než ti, kteří pravidelně navštěvují zubního lékaře. To není jen o zubech - je to o celém těle.

Co vás čeká na návštěvě u zubního lékaře?

První návštěva je vždy diagnostika. Lékař vám udělá:

  • Prohlídku dásní - zjistí, zda krvácí, zda jsou zánětlivé
  • Měření hloubky zubních kapslí - pomocí malého měřítka, které zjistí, jak hluboko se kámen nachází
  • Rentgen - ukáže, jak moc je poškozena kost kolem kořenů

Potom vám řekne, zda potřebujete jednoduché čištění nebo hluboké očištění. Pokud máte jen mírný kámen, může stačit jedna návštěva. Pokud je zánět pokročilý, budete potřebovat 2-4 návštěvy, každá trvá 45-60 minut.

Nezapomeňte: nečekáte na bolest. Když už bolest přijde, je už pozdě. Když jste si všimli krvácení při čištění, už je čas jít.

Symbolický obraz zubního kořene pokrytého kamenem a zdravou dásní, která ho chrání.

Co se stane po čištění?

Po odstranění kameně se dásně začnou hojit. Ale to trvá týdny. Počkejte na:

  • Uklidnění krvácení - za 1-2 týdny by mělo přestat
  • Zlepšení zápachu - to bude rychlejší, často za 3-5 dní
  • Zpevnění zubů - pokud je kost ještě zdravá, může se zub opět zpevnit

Nezapomeňte: po čištění je nejdůležitější prevence. Pokud se vrátíte ke starým zvykům, kámen se vrátí za 3-6 měsíců. A pak už to bude horší.

Co je lepší - prevence nebo léčba?

Představte si, že máte auto. Každý měsíc ho necháte bez oleje. Pak se motor zasekne. A teď se ptáte: „Můžu to nechat, než se zlomí?“

Zubní kámen pod dásní je stejný. Prevence je zdarma. Čištění je základní péče. Léčba je drahá, bolestivá a někdy už není možná.

Pravidelné návštěvy u zubního lékaře každých 6 měsíců stojí kolem 500-800 Kč. To je méně než cena jednoho zubního náhradníku. A tohle je výdaj, který vám může zachránit 20 zubů.

Závěr: Nečekáte na bolest - jde to jen jednou

Zubní kámen pod dásní není „nějaký problém“. Je to postupný, tichý útok na vaše zuby a zdraví. A když se vzbudíte, už je pozdě.

Nejlepší způsob, jak na něj reagovat, je:

  • Čistit zuby každý den - alespoň dvakrát
  • Používat mezizubní kartáčky nebo nit - každý večer
  • Nečekat na krvácení - když to začne, je čas jít
  • Jít k zubnímu lékaři každé 6 měsíců - i když všechno vypadá v pořádku

Zubní kámen pod dásní nezmizí sám. Ale můžete ho zastavit. Dříve než později. A to je jediná pravda, která vám zůstane.

Je možné odstranit zubní kámen pod dásní doma?

Ne. Žádný domácí prostředek - ani náplava, ani náhradní kartáčky, ani čisticí pasty - nemůže odstranit kámen pod dásní. Ten je tvrdý, jako kámen, a nachází se tam, kde štěteček nedosáhne. Jediný způsob, jak ho odstranit, je profesionální čištění u zubního lékaře pomocí ultrazvuku a ručních nástrojů.

Když už mám zubní kámen, je potřeba léčit i jiné zuby?

Ano. Kámen pod dásní není izolovaný problém. Bakterie se šíří po celém ústním ústrojí. Lékař vždy prohlédne všechny zuby a dásně, protože i zuby, které vypadají v pořádku, mohou mít skrytý zánět. Léčba je vždy celková - ne jen na místě, kde bolestí.

Může zubní kámen pod dásní způsobit ztrátu zubů?

Ano, a to velmi často. Kámen pod dásní způsobuje rozpad kosti, která drží zuby. Když kost zmizí, zub ztrácí podporu a začne se hýbat. Pokud to nezastavíte, zub se vysune nebo vypadne. To je jedna z hlavních příčin ztráty zubů u dospělých.

Je zubní kámen pod dásní nakažlivý?

Ne, kámen samotný není nakažlivý. Ale bakterie, které ho vytvářejí, se mohou přenášet - například políbením nebo sdílením nádobí. Pokud máte v rodině někdo s paradontitidou, zvyšujete riziko, že i vy budete mít problémy. Proto je důležité, aby celá rodina měla pravidelné kontroly.

Je možné kámen pod dásní odstranit bez anestezie?

V mírných případech ano. Pokud je kámen jen trochu pod dásní a dásně nejsou příliš zánětlivé, lékař může použít jen lokální znehybnění nebo vůbec žádné. Ale pokud je zánět pokročilý, bude potřeba místní anestezie, aby bylo čištění bezbolestné. Bez ní by to bylo příliš nepříjemné.

Populární tag : zubní kámen pod dásní odstranění zubního kamene prevence zubního kamene zubní kámen zubní lékař


Napsat komentář