Depo pro Dentální Péči
Jak vypadají zuby po sundání rovnátek? Co se stane s vašimi zuby po ortodontické léčbě
Jana Malíková

Jana Malíková

Zdraví zubů po rovnátkách: Náš test

Tento test vám pomůže zjistit, jaký je riziko poškození zubů po sundání rovnátek na základě vašich zubních zvyků během léčby. Zadejte informace a vypočítejte svůj individuální rizikový index.

Otázky o vaší zubní péči během ortodontické léčby

Po sundání rovnátek se mnoho lidí těší na dokonalý úsměv. Ale co když se podíváte do zrcadla a vidíte bílé skvrny, zčernané mezery nebo zuby, které vypadají jako kdyby je někdo odškrábal? To není vzácnost. Mnoho lidí, kteří nosili rovnátka, se poté vydává k zubaři s otázkou: proč moje zuby vypadají takhle?

Co se skutečně děje s vašimi zuby po rovnátkách?

Po rovnátkách nejsou zuby zničené proto, že by ortodontie sama o sobě škodila. Škoda vzniká kvůli tomu, jak jste se o ně během léčby starali. Rovnátka - ať už jsou kovová, keramická nebo transparentní - ztěžují čištění. Zuby se stávají pastí pro plak. Když nečistíte dostatečně, bakterie v plaku začnou rozkládat minerály ve sklovinkě. Výsledek? Bílé skvrny - to je první fáze kazu, který ještě není viditelný jako díra, ale už je trvalý.

Tyto skvrny nejsou jen estetický problém. Jsou známkou, že vaše sklovinka ztrácí vápník a fosfát. Pokud se nezastavíte, tyto skvrny se mohou přeměnit v černé díry. A nejhorší? Tyto poškození nejsou zpětně odbouratelné. Zubní lékař nemůže zpětně vrátit ztracený minerál. Může jen zakrýt škodu - plomby, výplně, nebo v případě vážnějšího poškození korunky.

Proč se to stává přesně během rovnátek?

Plak se tvoří každý den. Je to ten lepkavý film na zubech, který obsahuje stovky druhů bakterií. Když jíte cukr nebo sacharidy, tyto bakterie ho přeměňují na kyselinu. Ta kyselina pak začne rozpouštět sklovinku. Během ortodontické léčby je to horší, protože:

  • Rovnátka zakrývají části zubů - nejčastěji u základu, kde se plak hromadí nejvíc.
  • Dráty a západky vytvářejí koutky, kam se nevejde ani zubní kartáček.
  • Mezi zubem a drátem se rychle tvoří tzv. mezi-zubní plak, který se čistí jen speciálními kartáčky nebo mezizubními kartáčky.

Nejčastější místa poškození? U základu horních řezáků, kolem zubů, kde byly přilepené západky, a mezi zuby u zadních zubů. Tam, kde se nečistí, tam se kazu vytváří. A nejhorší je, že to může být úplně bezbolestné. Žádná bolest = neznamená, že je všechno v pořádku.

Co vypadá jako zničený zub po rovnátkách?

Nechcete se dívat do zrcadla a přemýšlet, jestli je to kaz, nebo jen stín. Tady je, co hledat:

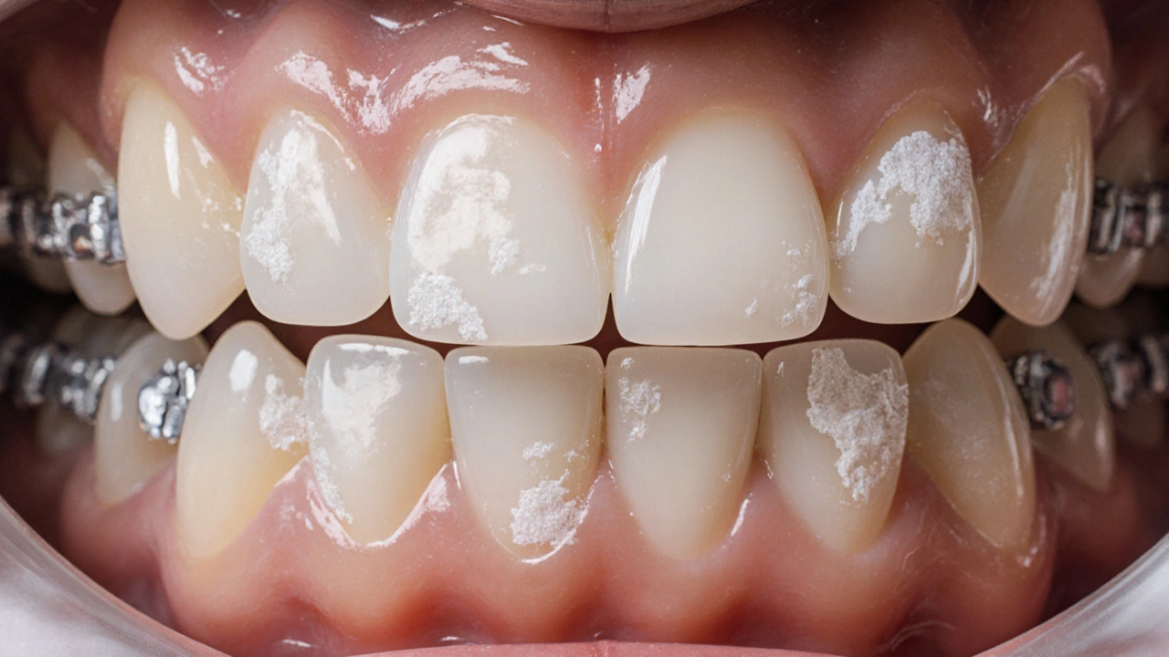
  • Bílé skvrny - nejčastější známka. Vypadají jako nepravidelné, matné, bílé skvrny na zubech, obvykle kolem západky. Jsou to první známky demineralizace.
  • Žluté nebo hnědé skvrny - pokud bílé skvrny přešly do druhé fáze, začínají být pigmentované. To znamená, že kazu se rozšířil do dentinu.
  • Díry nebo výměry - když se sklovinka zcela zničí, vznikne díra. Vypadá jako tmavá, černá nebo šedá plocha, kterou lze vidět i zvenčí.
  • Zubní kámen - tvrdý, žlutý nebo hnědý nános na zubech, který se tvoří z nevyčištěného plaku. Často se objevuje pod západkami a je těžký k odstranění bez zubaře.

Nezapomeňte: bílé skvrny nejsou kaz. Jsou předzvěstí. Pokud je necháte být, přejdou na kaz. A ten už není jen estetický problém - může vést k infekci, bolesti a dokonce ke ztrátě zubu.

Zvětšený pohled na zubní sklovinku s kyselinou ničící minerály kolem západky.

Co můžete udělat, když už máte poškozené zuby?

Nejprve: neviny. To se nestalo kvůli tomu, že jste byli líní. Mnoho lidí se snaží, ale prostě nevědí, jak správně čistit s rovnátky. Teď je čas na opravu - ne na vinu.

První krok je návštěva zubaře. Nečistíte si zuby sami - potřebujete odbornou péči. Zubař provede:

  • Profesionální čištění - odstraní zubní kámen a plak, který se nedá dostat kartáčkem.
  • Diagnostiku - pomocí rentgenu a zvětšovacího zrcadla zjistí, zda jde jen o bílé skvrny nebo už o skutečný kaz.
  • Remineralizaci - pokud je poškození na začátku, může použít speciální gel s vysokým obsahem fluoru a kalciumem. Ten pomáhá obnovit minerály ve sklovinkě. Tento proces trvá několik měsíců a vyžaduje pravidelné používání.
  • Výplň nebo korunku - pokud je kaz hlubší, bude potřeba vyplnit díru. Pro přední zuby se často používají kompozitní výplně, které se přizpůsobí přirozené barvě zubu.

Někteří zubaři navíc doporučují MI Paste nebo Recaldent - produkty, které obsahují kaseinový fosfát, který pomáhá zubům se „obnovit“ zevnitř. Tyto produkty nejsou lék, ale pomáhají při obnově minerálů.

Jak se vyhnout poškození zubů při rovnátkách?

Nejlepší léčba je prevence. Pokud ještě nosíte rovnátka, nebo plánujete je nasadit, tady je, co musíte dělat každý den:

  1. Čistěte zuby 3x denně - nejen ráno a večer, ale i po obědě. Každý jídlo = čištění.
  2. Používejte zubní kartáček s malou hlavičkou - ideálně s elektrickým pohybem. Standardní kartáček nedokáže dostat pod dráty.
  3. Mezizubní kartáčky - musíte mít a používat je každý den. Jsou malé, jako špachtle, a procházejí mezi drátem a zubem. Bez nich se nevyčistí 40 % povrchu zubů.
  4. Fluoridový zubní pasta - používejte tu s minimálně 1450 ppm fluoru. Více než 1500 ppm je ideální. Nepláchněte si ústa po čištění - nechte fluor na zubech.
  5. Fluoridové polevky - 2x týdně používejte fluoridovou polevku. Je to jako silný šampón pro zuby.
  6. Udržujte si dietu - omezte cukr, sladké nápoje, sušenky, čokolády. Když už sníte něco sladkého, okamžitě si zuby očistěte.
  7. Navštěvujte zubaře každé 3 měsíce - ne každých 6. Během rovnátek potřebujete častější kontroly.

Co se stane, když se o zuby nebudete starat?

Nejhorší případ? Zuby se rozpadnou. Nejde jen o bílé skvrny. Pokud se plak hromadí měsíce a roky, může dojít k:

  • Prohlubování kazů až do zubního nervu - to znamená bolest, infekci a nutnost kořenového ošetření.
  • Ztrátě zubu - pokud se kaz rozšíří pod dásň, může se zub rozpadnout a bude potřeba vytrhnout.
  • Poškození dásní - plak způsobuje zánět dásní, který může vést k odchodu dásně a vystavení kořene zubu.
  • Dlouhodobé estetické problémy - bílé skvrny a černé díry zůstanou navždy, i když budete mít dokonalý úsměv po rovnátkách.

Toto není „něco, co se příště vyhneme“. Je to realita, která se stává každý týden v každé ortodontické ordinaci. A nejhorší je, že mnoho lidí si toho nevšimne, dokud není pozdě.

Osoba se dívá do zrcadla a vidí poškozené zuby po ortodontické léčbě.

Co dělat po sundání rovnátek?

Sundání rovnátek není konec péče - je to začátek nové fáze. Pokud jste měli nějaké bílé skvrny nebo plak, musíte:

  • Navštívit zubaře do 14 dnů po sundání - nečekat na příští kontrolu.
  • Provést profesionální čištění a odstranit zubní kámen.
  • Požádat o remineralizační terapii, pokud jsou bílé skvrny.
  • Pokračovat v používání mezizubních kartáčků - i bez drátů se plak tvoří mezi zuby.
  • Používat fluoridovou pastu a polevku alespoň 6 měsíců po sundání.

Nezapomeňte: vaše zuby se po rovnátkách nevrátí do původního stavu samy. Potřebujete aktivní péči. Pokud se o ně nebudete starat, vaše dokonalý úsměv se může stát základem pro další zubní problémy.

Je možné zpětně opravit bílé skvrny?

Ano - ale jen částečně. Bílé skvrny nejsou kaz, ale demineralizace. Pokud jsou ještě povrchové, lze je zmírnit. Zubař může:

  • Použít infiltrující výplň - speciální technika, kdy se do sklovinky vstříkne průhledný materiál, který zmenší viditelnost skvrny.
  • Použít mechanické čištění s jemným brusným prachem - odstraní povrchovou vrstvu, ale ne zcela.
  • Doporučit domácí remineralizaci - fluoridové gely, MI Paste, speciální pasty.

Neexistuje zázračná metoda, která by bílé skvrny úplně smazala. Pokud se nezastavíte včas, budou viditelné po zbytek života. A to je důvod, proč je prevence důležitější než léčba.

Co je nejčastější chyba lidí s rovnátky?

Největší chyba? Předpokládat, že když rovnátka nebojí, tak zuby nejsou poškozené. Nebo myslet, že „když jsem čistil zuby, tak je to v pořádku“. Ale čistit zuby s rovnátky není jako čistit je bez nich. Je to jiná dovednost. A mnoho lidí se jí nikdy neučí.

Držíte se většinou těchto nesmyslů:

  • „Čistím si zuby 2x denně - to je dost.“ - Není. S rovnátky potřebujete 3x denně, a to správně.
  • „Nemám čas na mezizubní kartáčky.“ - Je to 20 sekund. A to je cena vašich zubů.
  • „Když jsem měl rovnátka, tak jsem nejedl cukr.“ - Přesto se plak tvoří z jídel, která obsahují škrob - chleba, rýže, ovesné vločky.

Ortodontická léčba není jen o tom, jak vypadají zuby. Je to o tom, jak budou vypadat za 20 let. A pokud jste během rovnátek nečistili správně, vaše úsměv bude vypadat jako „dokonalý“ - ale jen na povrchu.

Populární tag : zuby po rovnátkách zničené zuby ortodontie zubní kaz zubní plak péče po rovnátkách


Napsat komentář